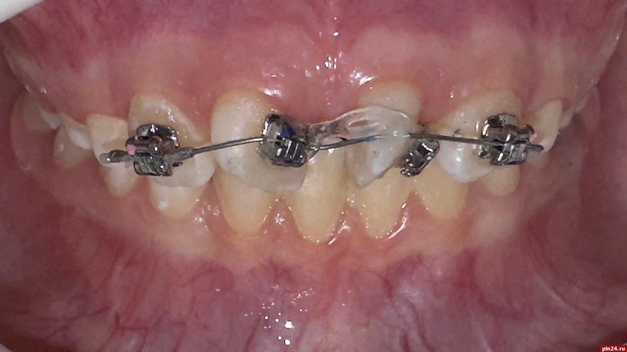
Частичная брекет-система – это вид несъемной ортодонтической аппаратуры, состоящей из отдельных замков (брекетов) и дуги, часто в пределах одной челюсти. Она устанавливается на постоянные зубы в сменном прикусе, когда часть из них остается молочными. Об этом рассказали специалисты Псковской стоматологической поликлиники на Октябрьском проспекте, 29.

Фото здесь и далее: Псковская стоматологическая поликлиника
В настоящее время чаще используются безлигатурные брекеты. За счет свободного расположения ортодонтической дуги, зубы, которые находятся в системе, испытывают меньшее напряжение при перемещении. Это позволяет уменьшить риски возможных осложнений. Такой вид фиксации позволяет сократить количество посещений к врачу-ортодонту без потери эффективности лечения.
Часто активные пациенты испытывают трудности при ношении съемной аппаратуры (ортодонтических пластинок). Большие конструкции в полости рта вызывают дискомфорт, формируют комплексы у детей, связанные с изменением речи. Ортодонтическая пластинка требует строго режима ношения, что сложно выполнить в период школьного времени.
При остром дефиците места в постоянном прикусе часто прибегают к удалению отдельных зубов. Использование частичной брекет-системы в сменном прикусе позволяет этого избежать.
По завершению лечения устанавливается несъемный ретенционный аппарат (дуга с обратной стороны зубов), который сохраняет полученный результат. Ношение ретенционного аппарата обязательно до окончания формирования постоянного прикуса (18-20 лет) во избежание возможного рецидива.

Частичная брекет-система позволяет решить небольшие ортодонтические проблемы за короткий срок. Пациент испытывает меньший дискомфорт во время лечения, что позволяет добиться хорошего результата.
Любое лечение начинается с первичной консультации врача-ортодонта. Выбор ортодонтической аппаратуры зависит от клинической ситуации, результатов диагностики, желания и возможности пациента, заключили специалисты.